Kids Dentistry / Paediatric Dentistry
At Dental Cure, we pride ourselves on having the best paediatric dentists in Gurgaon, ensuring that children receive the highest quality dental care. Treating children on the dental chair is a specialized task that requires professionals (Pedodontists) with extensive training and experience in dental care for kids. Our Pedodontists utilize special behavior management practices to encourage children and eliminate the fear often associated with the dentist’s chair.
Our expert Pedodontists excel in making children feel comfortable and relaxed during their dental visits. We employ gentle techniques and positive reinforcement to create a friendly environment, ensuring each child’s experience is pleasant and stress-free. This approach not only facilitates effective dental care but also fosters a foundation for lifelong good oral hygiene habits.
If you’re searching for the best kids dentist in Gurgaon, look no further than The Dental Cure. Our dedicated team is committed to providing exceptional dental care for children, making every visit a positive experience that promotes a lifetime of healthy smiles.
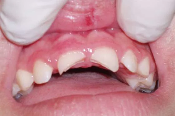
Before kids dentistry treatment.
After kids dentistry treatment.
Talk To A Dentist
DENTAL
CURE
WONDERING
WHAT IS BEST
FOR YOU?
Prevention and Oral Hygiene Instructions
Developing good oral habits in kids can be challenging for most parents. The primary reason kids develop cavities is ineffective brushing. At The Dental Cure in Gurgaon, our doctors guide parents and educate children in a fun and engaging way to keep their growing years cavity-free.
Nutritional Counseling
Kids often have a strong affinity for junk food and sweets, which is the second major reason cavities occur. We provide comprehensive education on which foods can cause cavities and offer strategies to modify your child’s diet to minimize the risk of developing cavities.
Preventive Fluorides
Our teeth and bones are composed of a mineral called hydroxyapatite, which provides their rigidity. However, this mineral is susceptible to demineralization by acids and chemicals, leading to tooth decay.
Fluoride applications convert hydroxyapatite into fluorohydroxyapatite, which is much stronger and prevents demineralization caused by acids and chemicals. Fluoride also reverses early decay and re-mineralizes the tooth surface.
Fluorides are available to our teeth in two ways:
- Systemic way/Diet: Through the bloodstream, which gets incorporated into growing teeth.
- Physical application: Fluorides are applied to teeth by the dentist or the patient.
Our dentists use fluorides in various forms such as gels, varnishes, or foam to keep your kid’s teeth cavity-free.
Advantages of The Dental Cure’s Pediatric Dental Care
- Expertise and Experience: Our pediatric dentists are highly trained and experienced in dealing with children, ensuring they receive the best possible care.
- Child-Friendly Environment: The clinic is designed with a special kids’ corner and dental chairs to make children feel comfortable and relaxed.
- Comprehensive Education: We educate parents and children on proper oral hygiene and nutrition, promoting lifelong healthy habits.
- Preventive Measures: Our use of preventive fluorides helps strengthen teeth and prevent cavities, ensuring long-term dental health.
- Gentle Techniques: Our pediatric dentists use gentle techniques and positive reinforcement to make dental visits stress-free and pleasant for children.
- Customized Care: Each child’s dental care is tailored to their specific needs, ensuring they receive the most effective treatment.
- Advanced Treatments: We use the latest dental technologies and treatments to provide the best possible care for your child.
- Positive Experience: By creating a friendly and welcoming environment, we help eliminate the fear of dental visits, making them a positive experience for children.
Kids Experience at The Dental Cure
When it comes to pediatric dentistry in Gurgaon, The Dental Cure boasts one of the best kids dentists in Gurgaon. The clinic features specially designed kids’ dental chairs and a kids’ corner to make children feel comfortable. At The Dental Cure, we have created a child-friendly ambiance tailored to their needs. Our pediatric dentist is renowned for providing gentle dental treatments to young and anxious children, ensuring a positive and stress-free experience.
For the best kids’ dental treatment in Gurgaon, visit The Dental Cure, where your child’s dental health and comfort are our top priorities.
Treatment Procedure
- Consultation: Our pediatric dentist will discuss the child’s medical history, current health status, and any previous experiences with sedation.
- Preparation: The child is prepared for the procedure, ensuring they are calm and comfortable.
- Administration: Nitrous Oxide combined with Oxygen is administered through a mask placed over the child’s nose. The dentist carefully monitors and adjusts the sedation level.
- Procedure: The dental procedure is performed while the child remains relaxed and responsive.
- Recovery: Once the procedure is complete, the sedation is stopped, and the child recovers quickly with minimal side effects.
At The Dental Cure, we prioritize your child’s comfort and safety. For any further queries or clarifications regarding your child’s dental health, please contact us.
Protocol for Children with Special Needs
Children with special needs often require greater dental care due to:
- Increased susceptibility to tooth decay and gum disease.
- Higher chances of falls and oral trauma.
- Prescribed medication or diets detrimental to dental health.
- Physical difficulty in maintaining oral hygiene.
Sedation at The Dental Cure
Sedation is a process used to get patient in a relaxed, easy and calm state through the use of sedatives. Sedation in the past was predominantly used to delivered via injection in to the blood vessels of the hand or arm (Intravenous).
However, in today’s world sedation dentistry has evolved to offer more relaxing experience. The latest alternatives to traditional sedatives are – sedation through Nitrogen gas (“laughing gas”) and IVs, such as those offering a no injection approach that many people find more appealing
The Inhalation Sedation technique is a safe, effective and child-friendly form of sedation. The conscious sedation procedure requires the child to breathe Nitrous Oxide combined with Oxygen through a mask that is placed over the child’s nose. The amount of sedation that the child receives is controlled by the dentist and the child is awake and responds to all the instructions. The effect of the gas is limited to the period when the child breathes through his/her nose.
We prefer performing conscious sedation for children above 4 years. Dentists performing conscious sedation at Dental Cure have undergone special advanced training with certificates to make sure your child is in right hands.
For any further queries / clarifications regarding your child’s dental health issue may kindly contact The Dental Cure.
BOOK AN APPOINTMENTWhat Our Customers Say About Dental Cure
Frequently Asked Questions
A Pedodontist is a dentist who specializes in the dental care of children, from infancy through the teenage years. They have the expertise to handle the unique dental needs and behavior of children.
Children have different dental needs than adults. Pedodontists are specially trained to manage these needs and address common issues such as cavities, gum disease, and dental development in a child-friendly manner.
At The Dental Cure, our Pedodontists use special behavior management techniques to make dental visits pleasant. This includes positive reinforcement, gentle communication, and a friendly environment that helps eliminate the fear of the dentist’s chair.
Behavior management practices involve strategies used by Pedodontists to help children feel at ease during dental visits. This includes encouraging words, distraction techniques, and creating a supportive and fun environment.
The American Academy of Pediatric Dentistry recommends that children have their first dental visit by their first birthday or within six months after their first tooth appears.
Children should visit the dentist every six months for routine check-ups and cleanings to maintain good oral health and catch any issues early.
Common dental treatments for children include sealants, fluoride treatments, fillings, and orthodontic evaluations. Preventive care like cleanings and education on proper brushing and flossing are also crucial.
You can prepare your child by explaining what to expect in a positive way, reading books about dental visits, and encouraging them to ask questions. Avoid using negative language or expressing your own dental anxieties.
Our Pedodontists are trained to handle dental anxiety. We use calming techniques, explain procedures in a child-friendly way, and create a welcoming environment to help ease their fears.
Yes, The Dental Cure provides emergency dental care for children to address urgent issues like tooth pain, injuries, or sudden dental problems.



