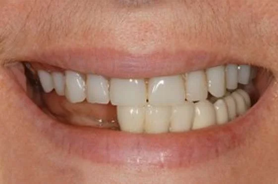
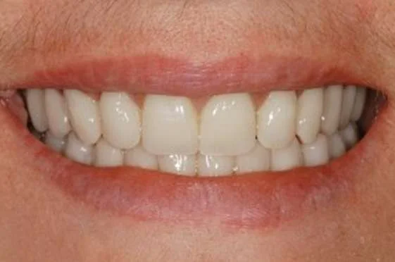
About Dentures
Dentures are sets of artificial teeth used to replace one or more missing teeth, offering a traditional solution for tooth replacement. Dentures help in chewing food, improving speech, and enhancing the aesthetic appeal of the person. Depending on the number of lost teeth, dentures can be classified as full mouth dentures (all teeth missing) or partial dentures (a few teeth missing).
At The Dental Cure, we provide the best dentures treatments in Gurgaon at affordable prices. Our high-quality dentures ensure functionality and comfort, helping you regain a confident smile and improve your quality of life.
Talk To A Dentist
DENTAL
CURE
WONDERING
WHAT IS BEST
FOR YOU?
Types Of Dentures
A REMOVABLE PARTIAL DENTURE
usually consists of replacement teeth attached to a pink or gum-colored plastic base, which is sometimes connected by metal framework that holds the denture in place in the mouth. Partial dentures are used when one or more natural teeth remain in the upper or lower jaw.
A COMPLETE DENTURE
is a removable appliance used when all teeth within a jaw have been lost and need to be prosthetically replaced…A complete denture can be opposed by natural dentition, a partial or complete denture, fixed appliances or, sometimes, soft tissues.
OVERDENTURE
is any removable dental prosthesis that covers and rests on one or more remaining natural teeth, the roots of natural teeth, and/or dental implants. It is one of the most practical measures used in preventive dentistry. Overdentures can be either tooth supported or implant supported
It’s your choice what type of denture you want. Don’t worry if you are in doubt, Our experts will suggest you the best type of denture according to your condition.
Procedure for Getting Dentures
At Dental Cure India, we follow a comprehensive and patient-centered approach to ensure you receive the best dentures treatment in Gurgaon. Here’s an overview of the procedure:
- Initial Consultation: Assessment: Our dentist will examine your mouth, take X-rays, and discuss your dental history to assess the condition of your gums and remaining teeth. Treatment Plan: Based on the assessment, the dentist will discuss the type of dentures suitable for you (full or partial) and create a personalized treatment plan.
- Impressions: Mouth Impressions: The dentist will take impressions of your gums and any remaining teeth to create a precise model of your mouth. Bite Registration: You may be asked to bite into a special material to record your bite pattern, ensuring the dentures fit perfectly.
- Wax Try-In: Mock-Up: A wax model of the dentures will be created and tried in your mouth. This allows the dentist to check the fit, appearance, and bite before the final dentures are made. Adjustments: Any necessary adjustments will be made to ensure comfort and functionality.
- Final Denture Creation: Fabrication: The final dentures are crafted in a dental laboratory using high-quality materials to match the shape, size, and color of your natural teeth. Polishing: The dentures are polished to ensure a smooth and natural finish.
- Fitting: Initial Fitting: The final dentures are placed in your mouth, and the dentist will check the fit, comfort, and functionality. Adjustments: Minor adjustments may be made to ensure the dentures fit snugly and do not cause any discomfort.
- Aftercare and Follow-Up: Care Instructions: The dentist will provide detailed instructions on how to care for your new dentures, including cleaning and maintenance tips. Follow-Up Visits: Regular follow-up appointments will be scheduled to monitor the fit and condition of the dentures, making any necessary adjustments over time.
At Dental Cure India, we ensure the entire process is smooth, comfortable, and tailored to your specific needs. For the best dentures treatments in Gurgaon, trust our expert team to provide you with high-quality dentures that restore your smile and improve your quality of life.
BOOK AN APPOINTMENTWhat Our Customers Say About Dental Cure
Frequently Asked Questions
Dentures are sets of artificial teeth used to replace one or more missing teeth, helping improve chewing, speech, and the aesthetic appearance of your smile.
There are two main types of dentures: full mouth dentures (replacing all missing teeth) and partial dentures (replacing a few missing teeth).
The process usually takes a few weeks and several appointments, including initial consultation, impressions, wax try-in, final denture creation, and fitting.
Modern dentures are designed to be comfortable. There may be a brief adjustment period, but they should feel natural after getting used to them. Any discomfort can be addressed by your dentist.
With proper care, dentures can last 5 to 10 years. Over time, they may need adjustments or replacements due to natural changes in your mouth and wear and tear.
Clean your dentures daily with a soft brush and mild denture cleaner. Remove them at night and soak them in water or a denture solution. Maintain good oral hygiene for any remaining teeth and gums.
Yes, but it may take some time to get used to eating with dentures. Start with soft foods and gradually introduce harder foods as you become more comfortable.
Initially, you may experience some changes in speech. Practice speaking with your dentures, and you will soon adapt. If issues persist, consult your dentist for adjustments.
The cost varies depending on the type of dentures and materials used. At Dental Cure India, we offer affordable pricing and high-quality dentures.
It is recommended to remove your dentures at night to give your gums and mouth a chance to rest and to maintain oral hygiene.
Yes, regular dental check-ups are important to ensure the dentures fit well, to monitor your oral health, and to make any necessary adjustments or repairs.



